晚期直肠癌骨转移患者经A45治疗后血尿症状消失
晚期恶性肿瘤的临床治疗方法非常有限,对于晚期肿瘤,外科手术已经无法进行,通常进行化学治疗和放射治疗控制病情。放化疗虽然具有杀死癌细胞的功效,延长患者生存期,但是整体效果往往不尽如人意。患者通常接受4-6个疗程的传统化疗,经常会发生严重副作用被迫放弃致治疗,或者仍然无法控制病情的发展而改用其他化疗方案。A45治疗技术,是一种针对晚期癌症患者的有别于传统治疗方法的新型治疗手段,可有效延长晚期癌症患者的生存期及生活质量。
近日,全球肿瘤医生网A45治疗专家报道了一例晚期直肠癌患者多发转移,成功接受A45治疗的案例。国内患者可以登录全球肿瘤医生网接受A45专家的在线会诊,了解是否适合A45治疗。
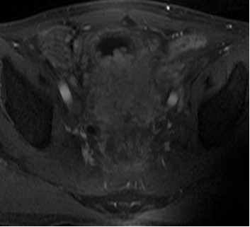
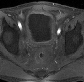
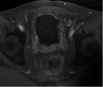
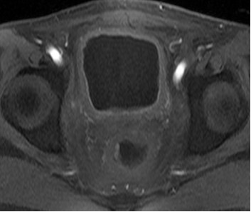
患者男性,63岁。诊断:直肠癌术后Ⅳ期,膀胱、盆腹腔及骨多发转移。患者2013年3月确诊后,行放化疗,后吃中药治疗,2015年12月病情恶化。2016年1月,盆腔MRI检查提示直肠癌侵及膀胱及周围组织,伴骶前转移及骶骨转移。2016年3月,CT检查提示直肠占位病变伴膀胱、前列腺、部分骶椎输尿管受侵,右侧大网膜强化结节,转移不除外,肠系膜及腹膜后淋巴结增大。肠镜检查提示肛管见菜花样肿物,肛管狭窄。化疗一疗程后,患者不能耐受而终止。为寻求下一步治疗方案,患者找到全球肿瘤医生网A45专家,经过中美癌症专家综合会诊,制定A45治疗方案。
患者于2016年6月开始A45治疗,一个疗程后复查,膀胱及直肠病灶明显缩小,肛周复发灶较前缩小,血尿症状消失,疼痛症状消失,其他症状显著缓解。






据全球肿瘤医生网(www.globecancer.com)报道:A45肿瘤治疗一种新型肿瘤治疗方法,是现代肿瘤无创治疗的最新进展。A45治疗技术区别于普通放化疗,突破性的将FDA批准的医用电子加速器与光化学药物有机结合,通过光化学作用定向标记肿瘤细胞,全身性不可逆杀死有氧或者无氧癌细胞,在建立基础免疫的同时,还可利用体内死亡的癌细胞抗原释放到细胞外,激发患者建立对癌细胞的特异性免疫,杀灭原发和转移肿瘤。对人体正常组织细胞伤害小,毒副作用小,几乎适用于所有癌症。此外,该疗法可以协同放化疗及免疫治疗增加疗效,特别适合对化疗耐药且不能或拒绝接受放疗的癌症患者。
经两千例癌症患者临床验证,A45治疗技术由于其创新型无创治疗机理及显著临床效果,被国内外癌症专家高度认可。临床数据显示,接受A45治疗的Ⅳ期肺癌患者一年生存率由国际上28%提高到78%,两年生存率由7%提高到53%。目前,国内苏州大学附属肿瘤医院已开展多年,济南106医院也正式投入使用。美国foxchase癌症中心已于2016年安装此设备,成为美国第一家开展A45治疗技术临床验证中心,美国UC戴维斯医学中心也即将引进。
全球肿瘤医生网创建A45国际远程公益会诊中心,患者可通过会诊群及视频两种最便捷模式与A45国际专家直接交流,让更多的癌症患者受益,详情可致电400-666-7998或登陆全球肿瘤医生网。
全球肿瘤医生网提醒广大癌症患者,虽然医学水平不断发展,治疗技术也在不断创新,但是至今为止,仍没有一种手段可以治愈肿瘤,A45治疗技术是一项比较新的治疗手段,虽然临床试验阶段取得了不错的效果,但像放化疗一样,也有不敏感,治疗无效的患者。肿瘤患者的治疗一定是依托于权威医院及权威专家的正规治疗,在采取常规治疗手段(手术、放疗、化疗)治疗后,根据自身的经济情况,辅助最新技术和最新药物治疗,采用多学科综合疗法,达到巩固治疗,预防复发,提高生活治疗,延长生存期的目的。
- 39种儿童药研发将享利好政策
- 卡介苗接种时间
- 睡眠已经成为导致我们亚健康的因素
- 女子婚后屡被约饭 闺蜜“告密”致夫妻
- 食品安全保卫战“作秀不得”
- 三种常见白色食物容易诱发癌症
- 太阳神国际护胃日活动圆满收官
- 中国人平均睡眠7小时 如何改善睡眠
- 经常用眼可以常吃豌豆尖
- 嘴唇会有哪些疾病 或许是缺乏某些营养
- 伤眼的行为有哪些 警惕这些伤眼行为
- 春季运动注意什么 记住避开这些流行错
- 美国研究称肥胖者若被人说胖 更易患糖
- 脸色暗黄怎么处理 3款粥帮你养出好气色
- 食用蜂蜜有什么注意事项
- 如何防止肾虚 少吃这五种食物
- 红枣应该怎么吃才最补血 红枣补血食谱
- 春季如何护肝 推荐五类护肝食物
- 慢性肾炎的明显症状有哪些 解读这五种
- 如何减少熬夜的危害 熬夜人群多吃六种















